Porcelein Veneers
Porcelain Veneers
Serving Santa Clarita & the Surrounding Areas
What are Veneers?
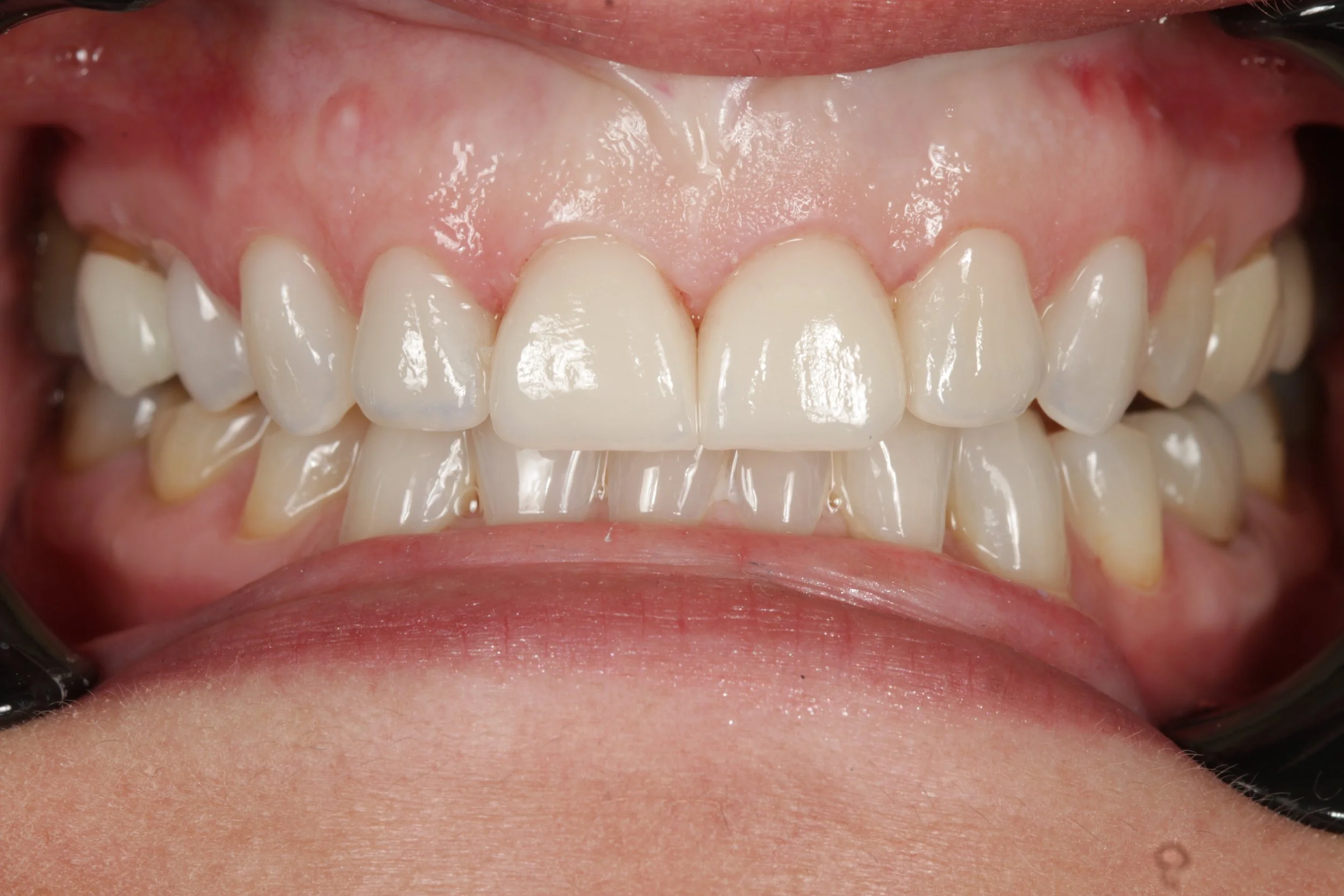
-Porcelain veneers are thin shells of dental porcelain custom-made to fit over the front surface of a tooth, providing a transformative solution for enhancing the aesthetics of a smile. These veneers are meticulously crafted to mimic the natural appearance of teeth, offering a durable and stain-resistant option for addressing various cosmetic concerns. Commonly used to correct issues such as discoloration, minor misalignments, gaps, or chipped teeth, porcelain veneers are a versatile cosmetic dentistry option.
What is the Process of Getting Veneers?
-The first step is the Smile Design. We will take pictures and scans of your teeth and create a 3D mockup of what your new smile will look like, so you can see and discuss any changes with the doctor even before the treatment begins.
-The next step includes preparing the tooth by removing a small amount of enamel to accommodate the veneer and taking precise 3D scans.
-Dr. Adam Chukhman then hand fabricates the veneers in our in-house lab. Once ready, the veneers are bonded to the tooth surface, instantly transforming the appearance of the smile. With proper care, porcelain veneers can provide long-lasting and aesthetically pleasing results, making them a popular choice for those seeking a radiant smile.

