Smile Gallery
Each Smile, each tooth is custom designed to fit that patient from a full face design approach.
Smile make over
Veneers created a beautiful, confident smile for this patient
Smile make over
With crowns on the top teeth her smile and function were restored
Smile make over
Crowns on the front teeth create a natural inviting smile
Total Smile make over.
Using an interdisciplinary approach to correct missing teeth, bite issues, and creating a great smile
Total Smile make over.
New crowns on the top teeth allowed us to fix broken teeth and create a new smile with crowns custom-tailored to fit this patients face
Total Smile make over.
Crowns on the top teeth created a smile that fit this patient’s face and lip line
Total Smile make over.
Only six restorations created a completely new smile for this patient
Veneer Refresh
This Patient went from old broken veneers on the 4 front teeth to realistic bright crowns.
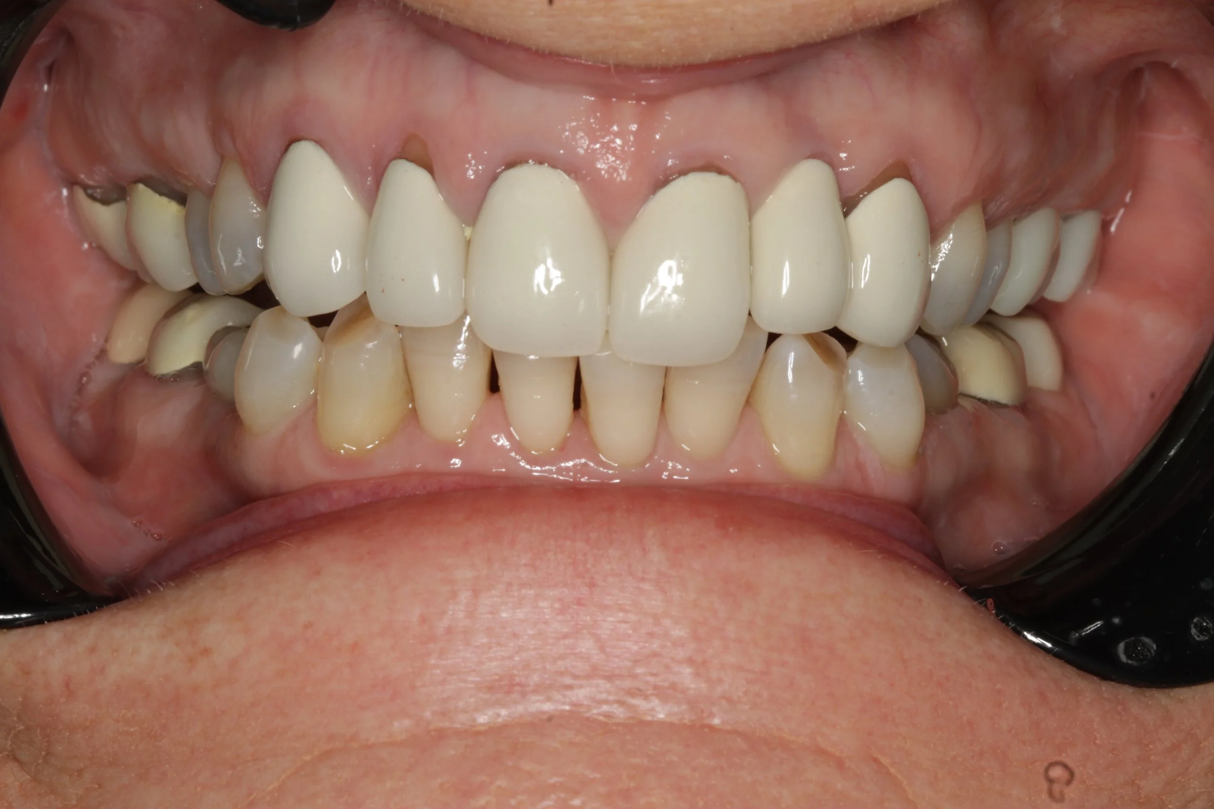
Smile Harmony
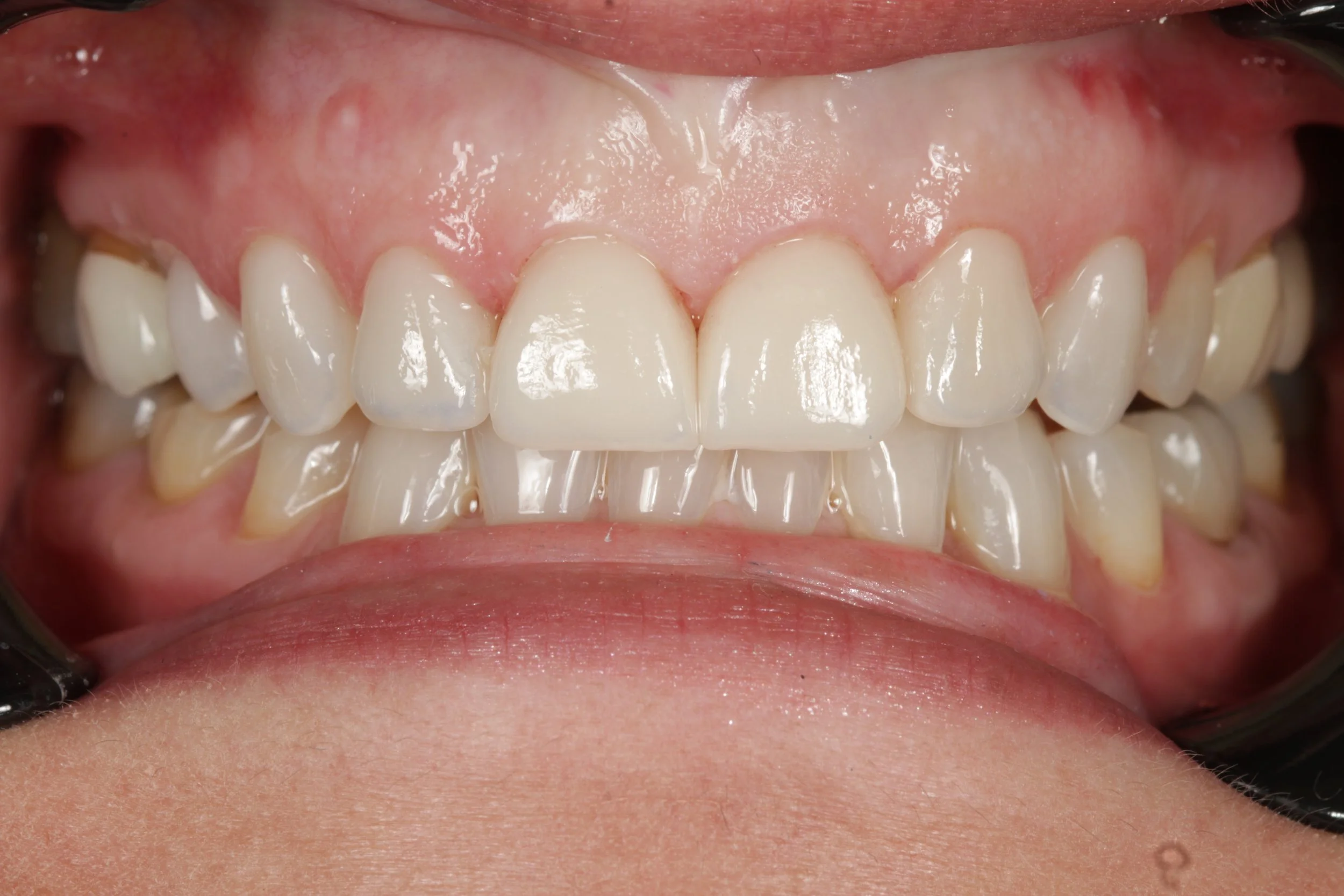
Crown Transformation
With 7 crowns we were able to create a beautiful smile and fix wear and chipping to restore function
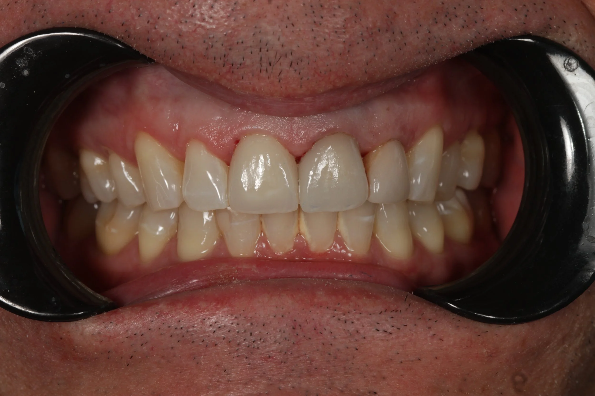
Form and Function Restoration
6 crowns were done to save this patients front teeth, while straightening and whitening
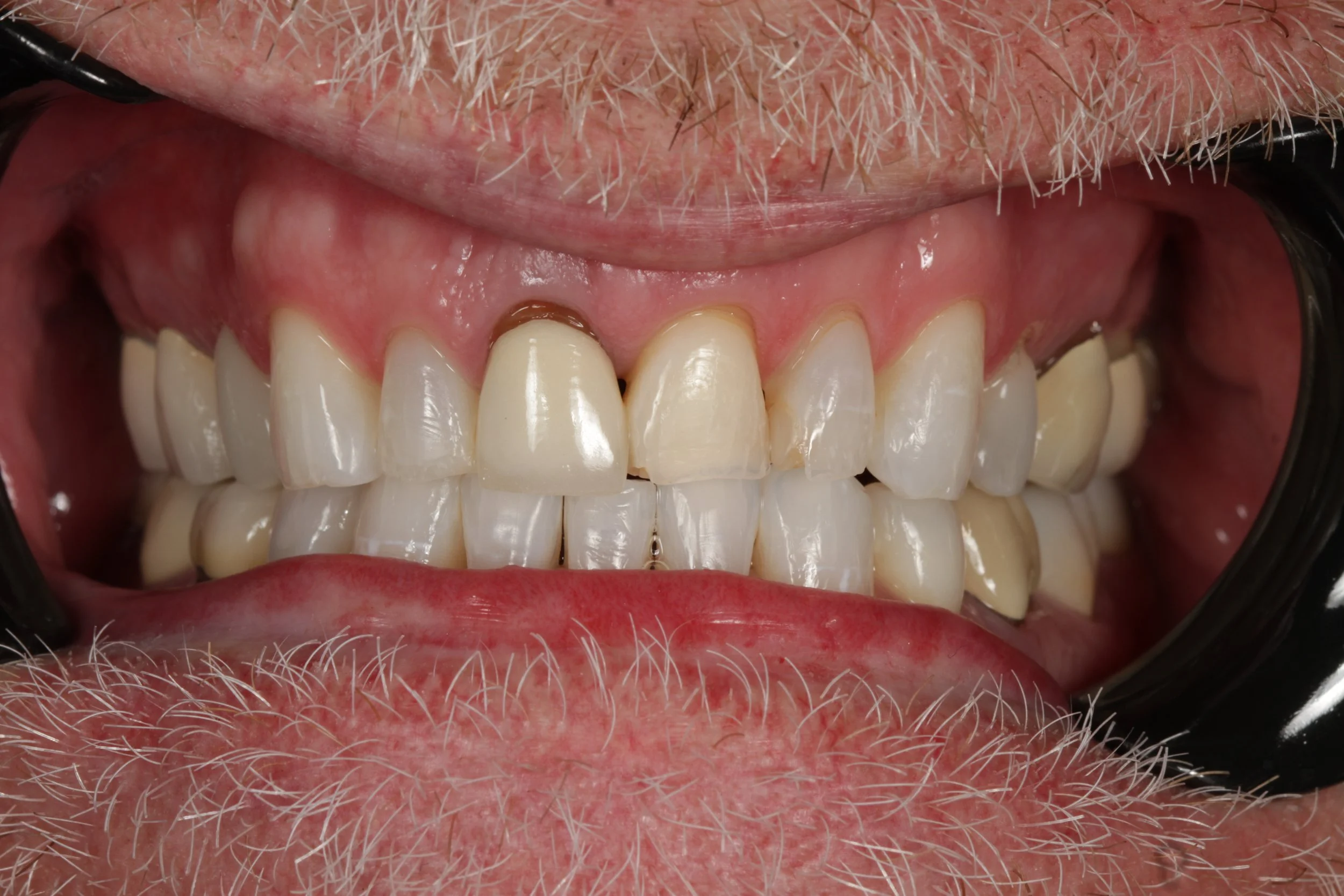
Smile Revitalization
8 crowns were done to restore this patient’s smile to one she had years ago.
We did 7 veneers to totally rejuvenate this patient’s smile
3 crowns and a bridge were done to save teeth while reaching an esthetic natural smile
6 crowns were replaced to correct gum recession and make this patient’s smile blend naturally so she can feel comfortable in her smile
2 Crowns and 2 Bridges were done to replace missing teeth and create a custom smile that fits this patient
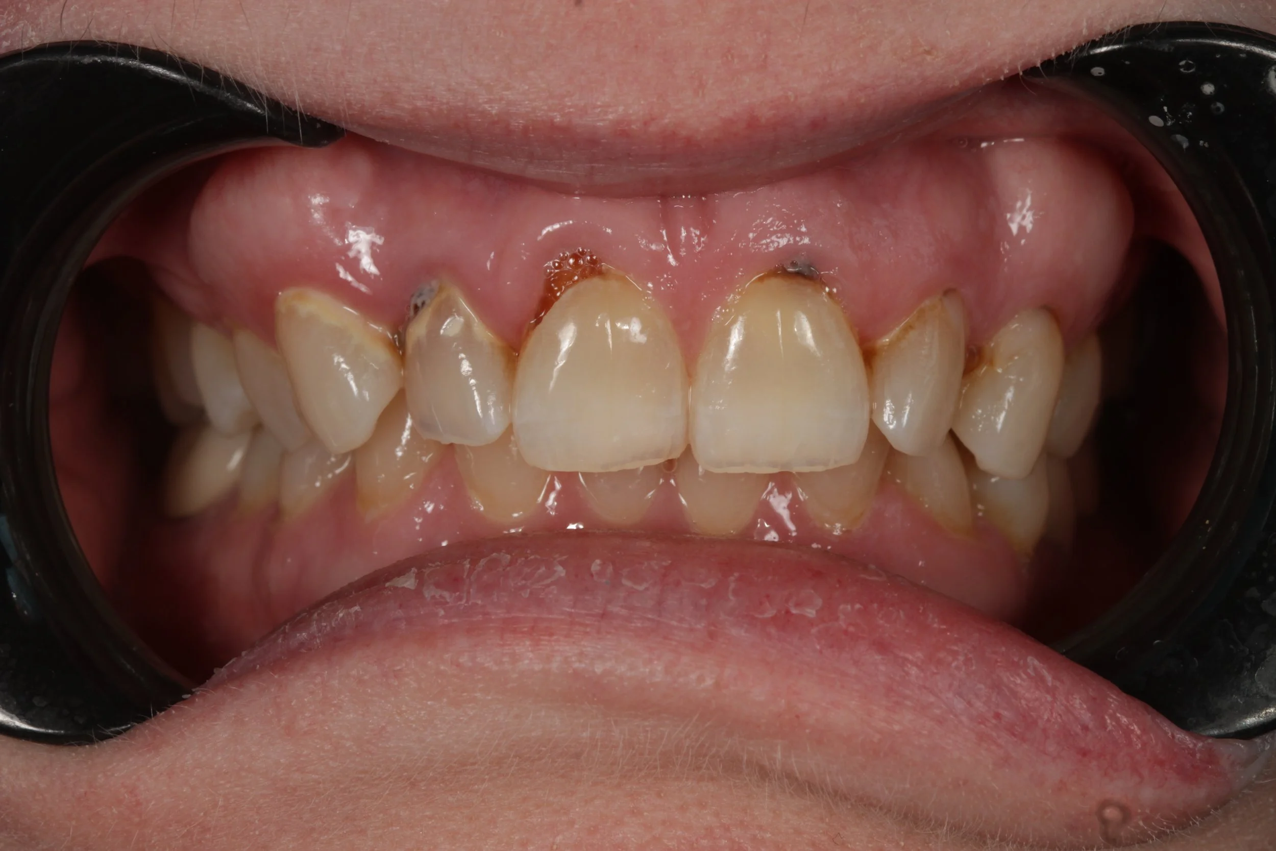
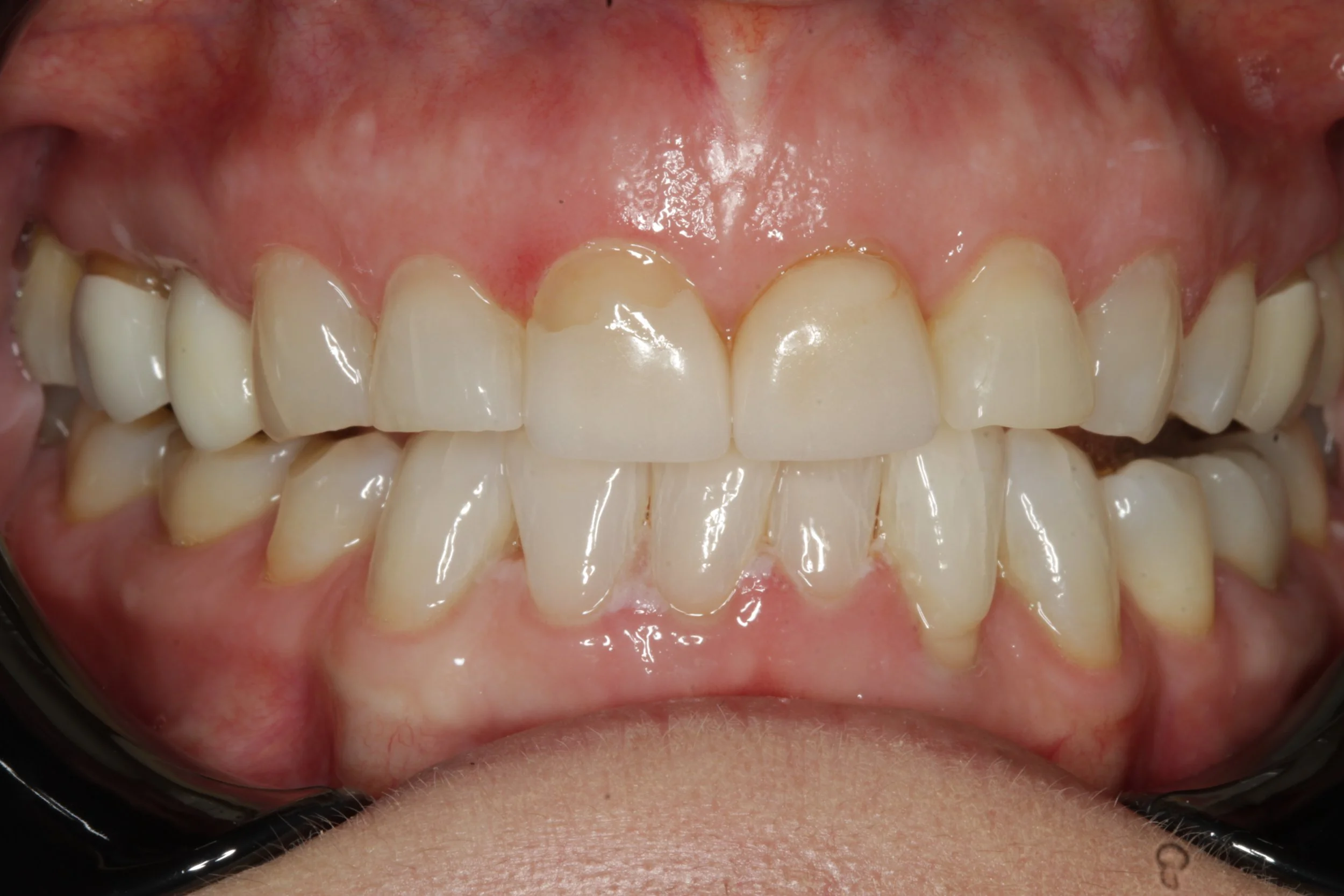
2 Crowns were replaced to better blend into the patients smile
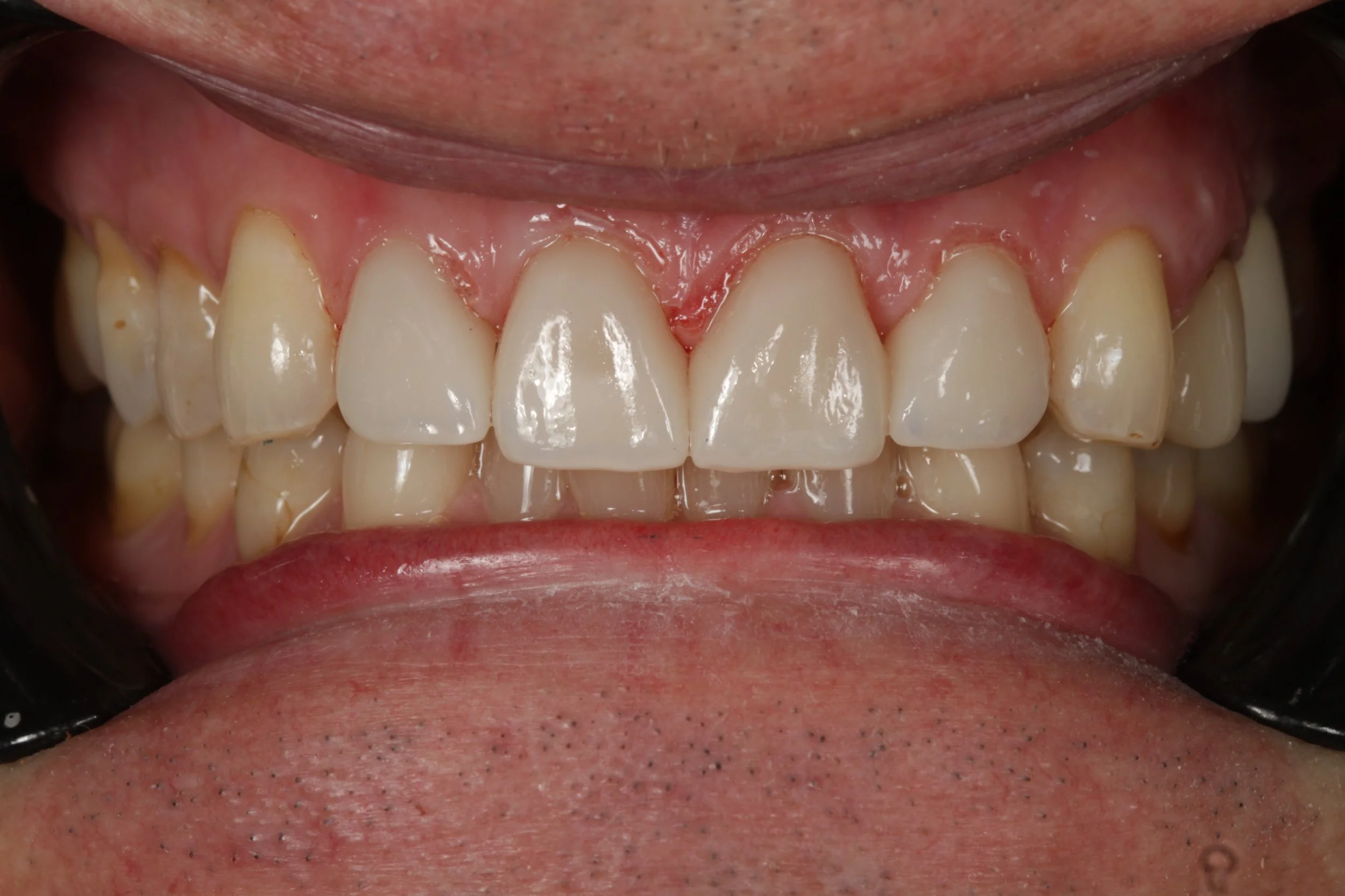
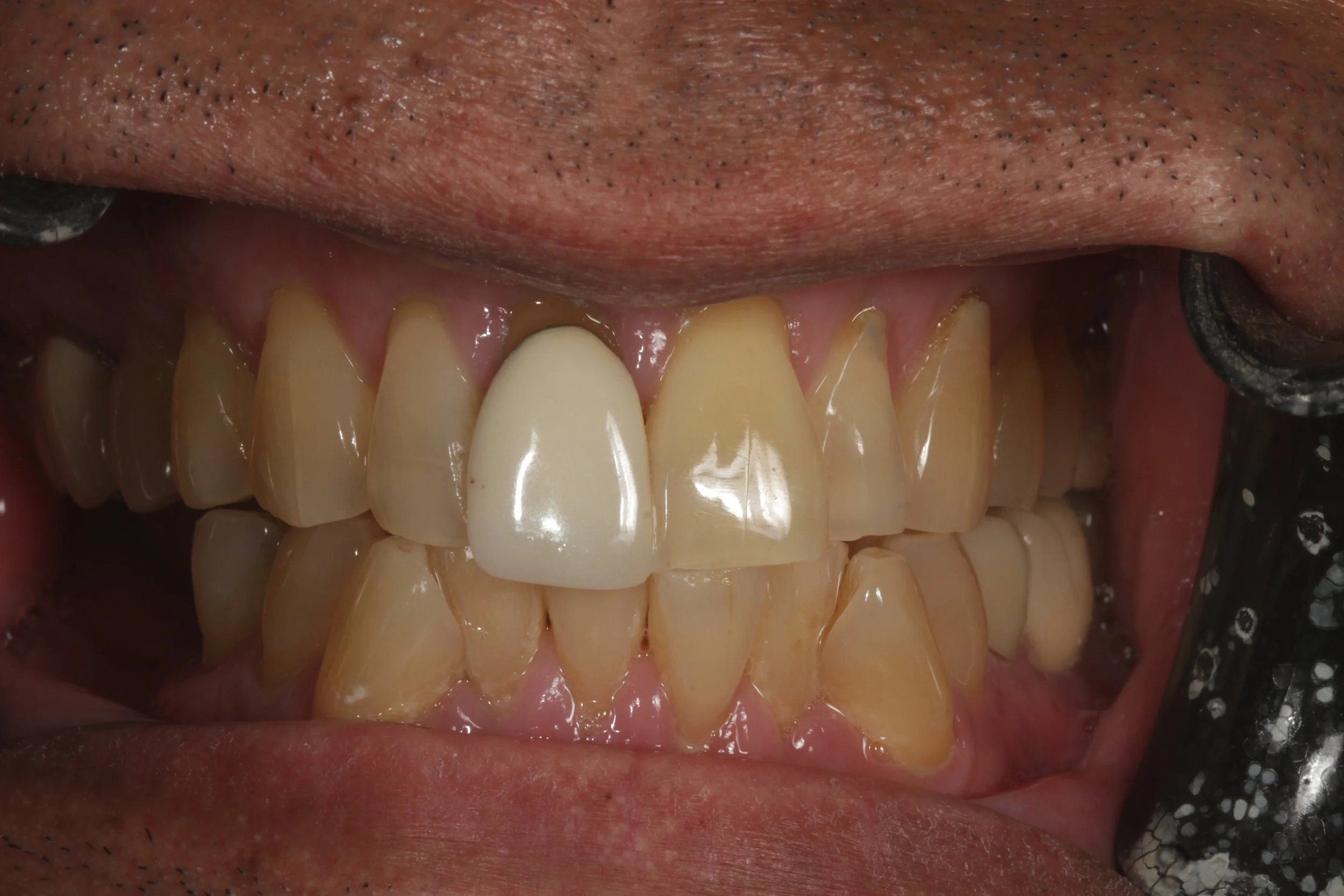
2 Crowns were done to fix broken and chipped areas while creating a better shape and blend with this patients smile

